花沢歯科・矯正歯科

2026年3月よりAI電話で対応しております

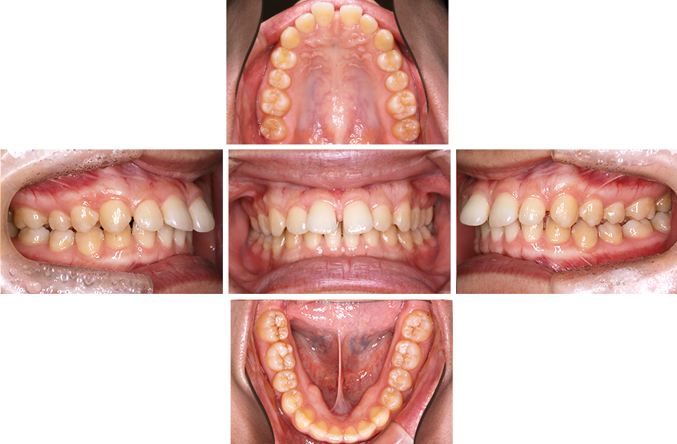
上顎前突 非抜歯症例

NON-EXTRACTION CASE OF MAXILLARY PROTRUSION

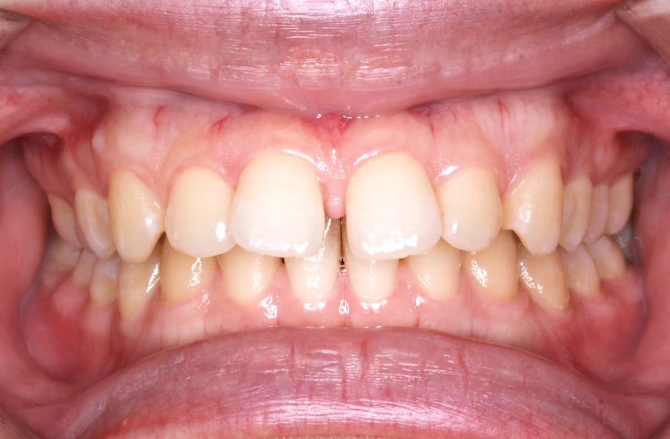
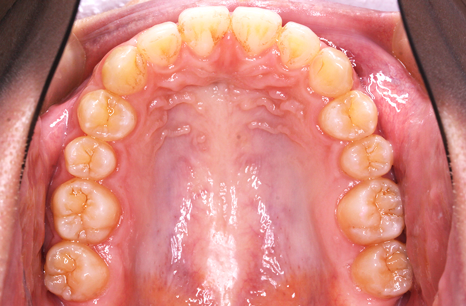
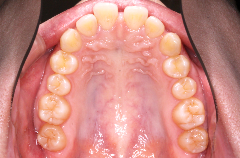
上顎前突 非抜歯症例NON-EXTRACTION CASE OF MAXILLARY PROTRUSION

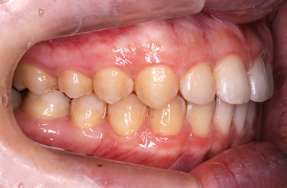
矯正前

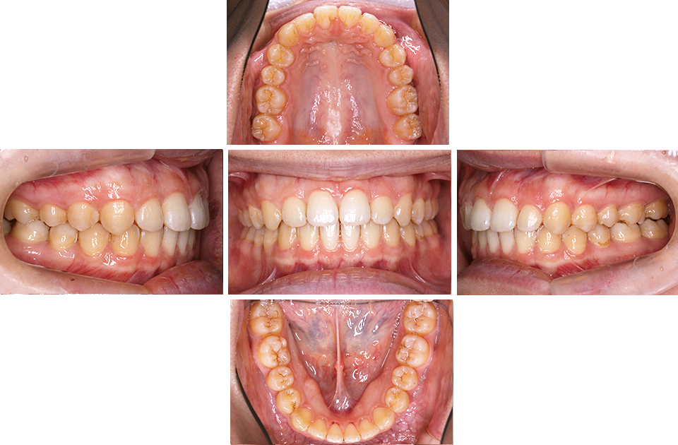
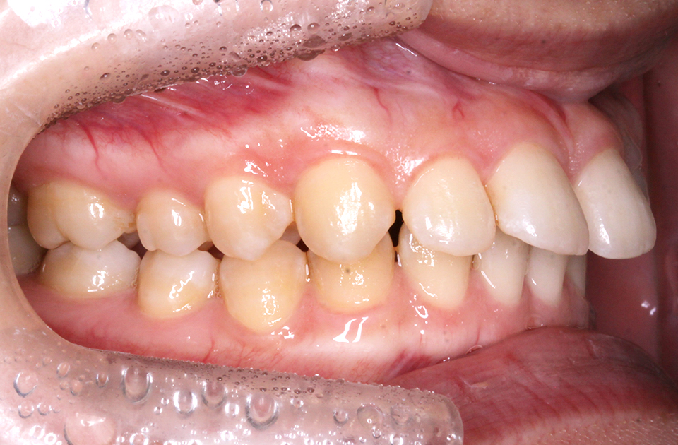
矯正後

矯正前 正面

矯正後 正面

矯正前 右側

矯正後 右側

矯正前 左側

矯正後 左側

矯正前 上顎

矯正後 上顎

矯正前 下顎

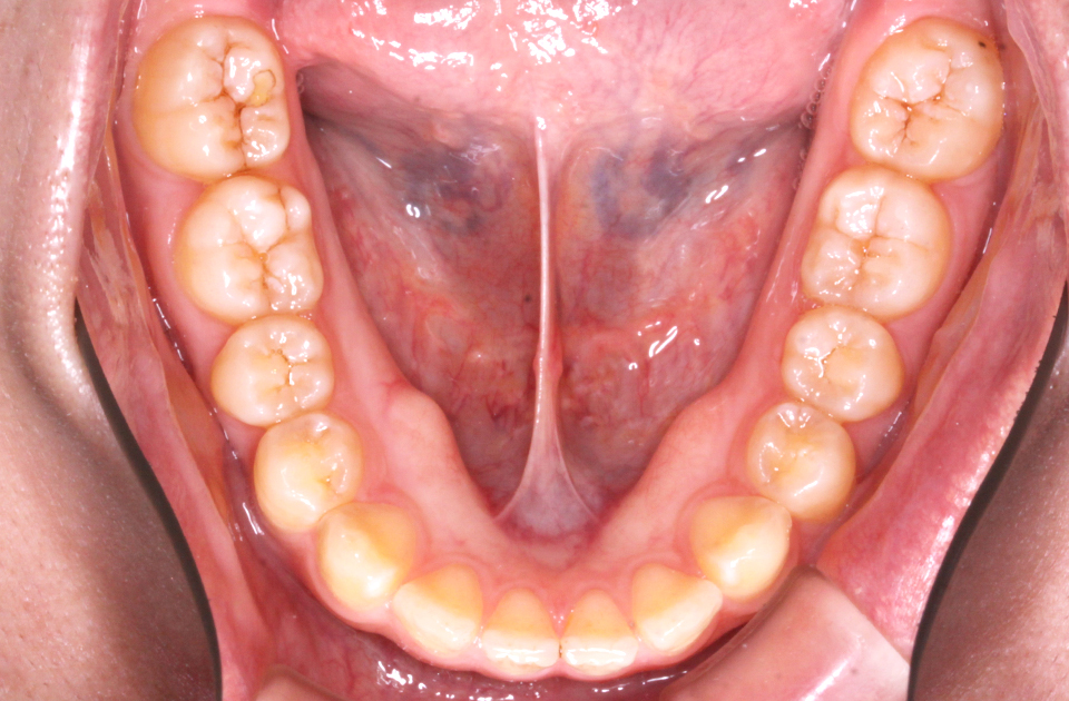
矯正後 下顎

矯正前 正貌

矯正後 正貌

矯正前 側貌

矯正後 側貌写真

矯正前 正貌スマイル

矯正後 正貌スマイル

主訴 正中が開いている。出っ歯を治したい。
年齢 20代
治療法 上下顎マルチブラケット装置、カリエール
抜歯の有無 なし
治療期間 1年6ヶ月
治療費 基本矯正料¥660,000+処置料¥5,500(毎月)
リスク
  1. 矯正歯科装置装着後に違和感、不快感、痛みなどが生じることがあります。
    一般的には数日間~1、2週間で慣れてきます。
  2. 歯の動き方には個人差があります。そのため予想された治療期間が延長する可能性があります。
  3. 矯正歯科装置の使用状況、顎間ゴムの使用状況、定期的な通院など、矯正歯科治療には患者さんの協力が必要であり、それらが治療結果や治療期間に影響します。
  4. 治療中は矯正歯科装置が歯の表面に付いているため食物が溜りやすく、また歯が磨きにくくなるため、むし歯や歯周病が生じるリスクが高まります。
    したがってハミガキを適切に行い、お口の中を常に清潔に保ち、さらにかかりつけ歯科医に定期的に受診することが大切です。
    また、歯が動くと隠れていたむし歯が見えるようになることもあります。
  5. 歯を動かすことにより歯根が吸収して短くなることや歯肉がやせて下がることがあります。
  6. ごくまれに歯が骨と癒着していて歯が動かないことがあります。
  7. ごくまれに歯を動かすことで神経が障害を受けて壊死することがあります。
  8. 矯正歯科装置などにより金属等のアレルギー症状が出ることがあります。
  9. 治療中に顎関節の痛み、音が鳴る、口が開けにくいなどの顎関節症状が生じることがあります。
  10. 治療の経過によっては当初予定していた治療計画を変更する可能性があります。
  11. 歯の形の修正や咬み合わせの微調整を行ったりする可能性があります。
  12. 矯正歯科装置を誤飲する可能性があります。
  13. 矯正歯科装置を外す際にエナメル質に微小な亀裂が入る可能性や、かぶせ物(補綴物)の一部が破損する可能性があります。
  14. 動的治療が終了し装置が外れた後に、現在の咬み合わせに合った状態のかぶせ物(補綴物)やむし歯の治療(修復物)などをやりなおす必要性が生じる可能性があります。
  15. 動的治療が終了し装置が外れた後に保定装置を指示通り使用しないと、歯並びや咬み合せの「後戻り」が生じる可能性があります。
  16. あごの成長発育により咬み合せや歯並びが変化する可能性があります。
  17. 治療後に親知らずの影響で歯並びや咬み合せに変化が生じる可能性があります。
    また、加齢や歯周病などにより歯並びや咬み合せが変化することがあります。
  18. 矯正歯科治療は一度始めると元の状態に戻すことは難しくなります。

*この症例は患者様の許可を得て掲載しています。