JR藤沢駅北口徒歩
3
分 バスターミナル脇 ベローチェ上 3階
〒251-0052 Kanagawa Prefecture Fujisawa City Fujisawa 567-2 Nakajima Building 3F
tel.
0466-53-8013
2026年3月よりAI電話で対応しております
English page
ホーム
スタッフ紹介
医院紹介
医院の理念
医院概要
当院の特徴
機器紹介
衛生管理
診療案内
矯正歯科
歯の根の治療
予防歯科
メインテナンス
歯周病
審美歯科
かぶせもの&つめもの
ラミネートベニア
無痛治療
インプラント
義歯・入れ歯
虫歯治療
小児歯科
料金表
初診の方へ
アクセス
ブログ
English
2026年3月よりAI電話で対応しております
医院の理念
医院概要
当院の特徴
機器紹介
矯正歯科
歯の根の治療
予防歯科
メインテナンス
歯周病
審美歯科
かぶせもの&つめもの
ラミネートベニア
無痛治療
インプラント
義歯・入れ歯
虫歯治療
小児歯科
料金表
矯正歯科
orthodontic dentistry
症例
Case
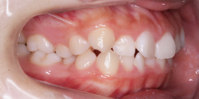
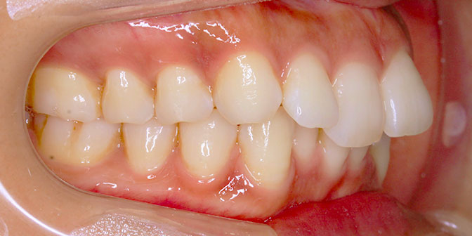
上顎前突症例
Maxillary Protrusion Case
01
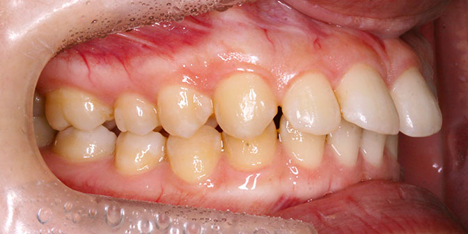
抜歯症例
02
非抜歯症例
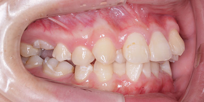
叢生(歯列の凸凹)症例
Crowding Case
03
抜歯症例
04
非抜歯症例
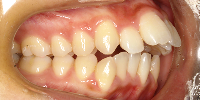
上下顎前突症例
Bimaxillary Protrusion Case
05
抜歯症例
06
抜歯症例
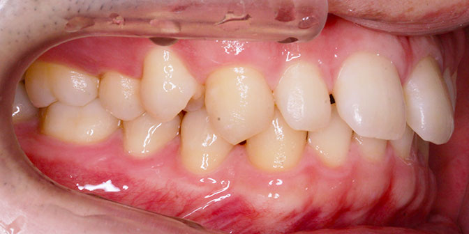
開咬症例
OPEN BITE Case
07
抜歯症例